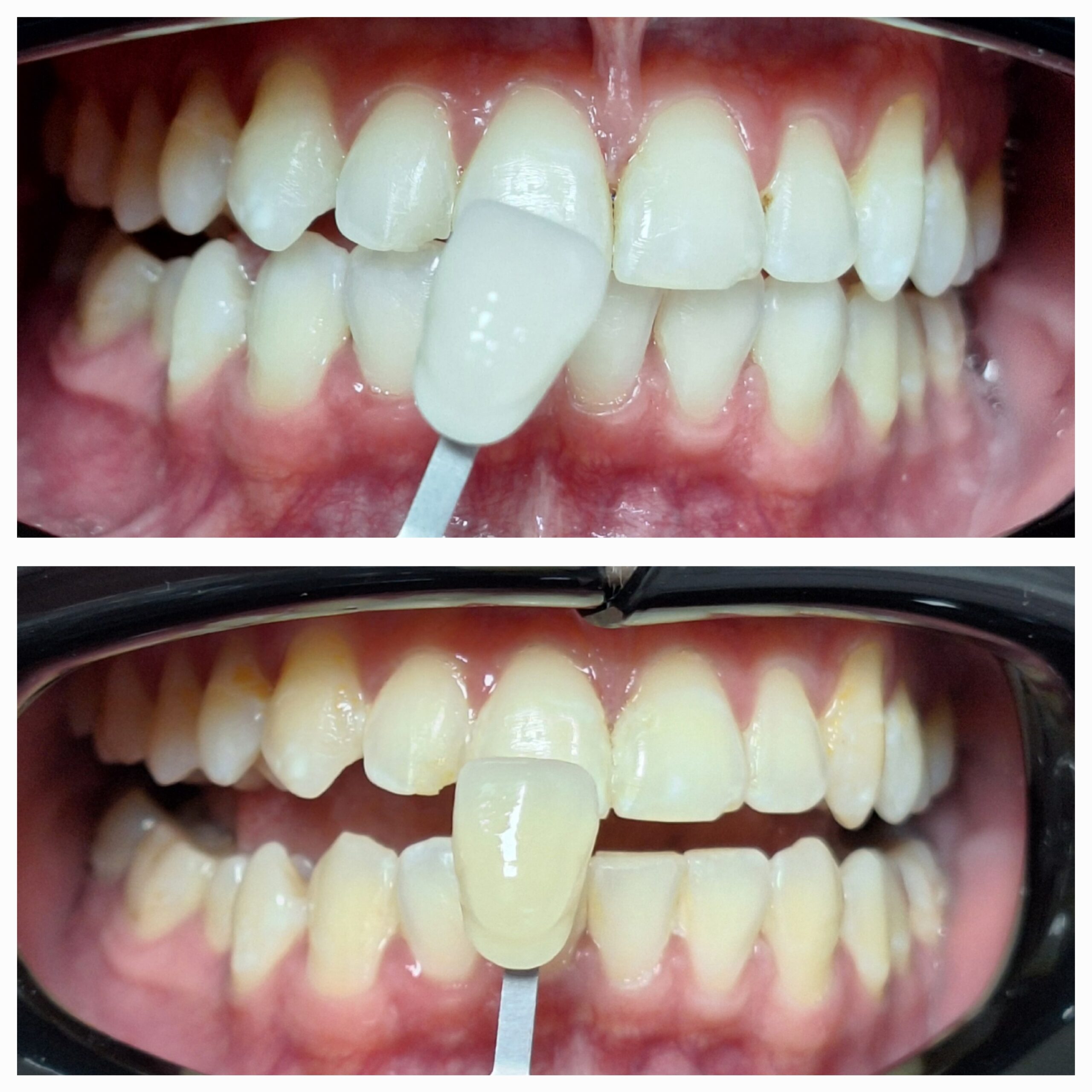
Blanqueamientos profesionales en consultorio

El blanqueamiento dental, o mejor dicho, aclaramiento dental, es una técnica mediante la cual la estructura dental recupera su blanco natural. Existen tratamientos profesionales en consultorio y tratamientos ambulatorios que podes realizar desde la comodidad de tu casa.





