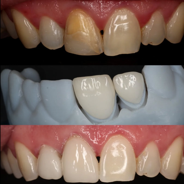
Carillas Estéticas de Disilicato de Litio elementos 11 y 12.
Digital Workflow
En estos casos de sustratos tan oscurecidos, es muy importante elegir de forma correcta la translucidez de la porcelana que vamos a usar( junto con el laboratorio), y definir bien la opacidad y el color del cemento

